Prophylaxe (Vorsorge) durch professionelle Zahnreinigung
Um einen langfristigen Erfolg der Zahnerhaltung zu gewährleisten, sollte der Patient zunächst alle 3 Monate, später alle 6 Monate eine regelmäßige Kontrolle und eine professionelle Zahnreinigung beim Zahnarzt durchführen lassen
Nachsorge, ein wichtiger Abschnitt der Behandlung
Am wichtigsten ist aber die eigene systematische und regelmäßige häusliche Pflege. Elektrische Zahnbürsten können oszillierend-rotierend für gut trainierte Patienten oder schallaktiv für untrainierte Patienten sein.
Die Nachsorge ist ein wichtiger Abschnitt der Behandlung. Um einen langfristigen Erfolg der Zahnerhaltung zu gewährleisten, sollte der Patient zunächst alle 3 Monate, später alle 6 Monate eine regelmäßige Kontrolle und eine professionelle Zahnreinigung beim Zahnarzt durchführen lassen.
Am wichtigsten ist aber die eigene systematische und regelmäßige häusliche Pflege. Elektrische Zahnbürsten können oszillierend-rotierend für gut trainierte Patienten oder schallaktiv für untrainierte Patienten sein.
Bei Parodontitis-Patienten ist der Interdentalraum in der Regel erweitert und daher besonders zu beachten und zu behandeln. Voraussetzung für eine dauerhaft erfolgreiche Behandlung ist die systematische, regelmäßige und intensive Säuberung des Zwischenraumes. Dazu braucht der Parodontitis-Patient Hilfsmittel wie Zahnseide, Zahnhölzer, Flauschzahnseide und Interdentalbürstchen.
Professionelle Zahnreinigung
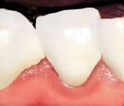
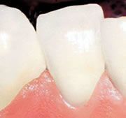
Gesundes Zahnfleisch ist das Fundament für Ihr harmonisches Lächeln. Entzündungen dagegen führen zu sichtbaren Rötungen und Schwellungen.
Mit einer perfekten Pflege des gesamten Zahnhalteapparats können Sie diesem Zustand vorbeugen. Neben der häuslichen Zahnpflege trägt eine halbjährliche professionelle Prophylaxe zur Gesunderhaltung von Zähnen und Zahnfleisch bei.
Reinigung und Fluoridierung der Zähne sind dabei ebenso selbstverständlich wie eine individuell auf Ihre Bedürfnisse abgestimmte Mundhygiene- und Ernährungsberatung.
Reicht die Zahnreinigung alleine nicht mehr aus, um eine Zahnbettentzündung zur Ausheilung zu bringen, empfehlen wir eine systematische Parodontal-Behandlung.
Ihre Durchführung bewirkt den Stillstand der Erkrankung durch eine gründliche Reinigung der Wurzeloberflächen. Ihr Zahnfleisch wird wieder straff und gesund.
Darüber hinaus kann durch spezielle Verfahren der regenerativen Parodontologie ein Nachwachsen des abgebauten Knochengewebes und eine optische Verbesserung der Situation erreicht werden.
Recall für einen dauerhaften Erfolg
Für einen dauerhaften Erfolg der Parodontalbehandlung sind sowohl eine regelmäßige Nachsorge mit professionellen Prophylaxemaßnahmen als auch eine systematische, konsequente und intensive häusliche Zahnpflege von ausschlaggebender Bedeutung.
Die Erhaltungstherapie bzw. Recall ist der wichtigste Teil der Parodontalbehandlung. Wissenschaftliche Studien zeigen, dass durch die Recall-Sitzungen das erreichte Ergebnis erhalten werden kann.
In den Recall-Sitzungen werden diagnostische und therapeutische Maßnahmen sowie die professionelle Zahnreinigung, Politur, Fluoridierung, die Reinigung unterhalb des Zahnfleisches und die Rezidivbehandlung durchgeführt.
Da Parodontitis eine chronische Erkrankung des Zahnhalteapparats ist, muss die individuelle Mundhygiene auf den Patienten abgestimmt und überdurchschnittlich intensiv, konsequent und zeitlebens betrieben werden.












