IMPLANTOLOGIE
Implantatgetragener Zahnersatz
Wir verfügen seit 1999 über implantologische Erfahrung mit verschiedenen Implantatystemen.
Gerne arbeiten wir mit CAMLOG oder Straumann.
Durch Implantate ist es möglich, auch den Halt von Ihren bestehenden Prothesen zu verbessern - fragen Sie uns!
Einzelimplantat
Für den Ersatz einzelner oder mehrerer Frontzähne eignen sich Implantate besonders, da weder gesunde Zähne beschliffen werden, noch die Ästhetik durch Klammern – wie bei herausnehmbarem Zahnersatz – beeinträchtigt wird.
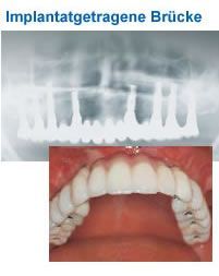
Implantatgetragene Brücke
Festsitzender Zahnersatz ist komfortabel und kommt der Natur am nächsten.
Bei stark reduziertem Restzahnbestand bietet eine Kombination aus Doppelkronen und Implantaten den höchsten Tragekomfort.





