PARODONTOLOGIE
Bakteriell bedingte Entzündungen
Parodontitis
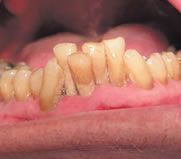
Eine bakteriell bedingte Entzündung, die sich in einer weitgehend irreversiblen Zerstörung des Parodontiums zeigt, wird als Parodontitis bezeichnet.
Zahnfleischerkrankungen haben meist mehrere Ursachen:
- mangelnde Mundhygiene
- Engstand und Fehlstellungen der Zähne
- kohlenhydratreiche Ernährung (Zucker/Stärke)
- Rauchen
- intensiver Alkoholgenuss
- innere Erkrankungen, z. B. Diabetes, Lebererkrankungen, Herz-Kreislauf-Erkrankungen, Osteoporose
Eine initiale Diagnostik kann eine Fotodokumentation, die Erstellung diverser Indizes (z. B. Plaqueindex, API/ SBI) und Röntgenaufnahmen beinhalten. Bei den Röntgenaufnahmen wird eine Panoramaaufnahme (OPG) angefertigt. Von nicht vital reagierenden und wurzelgefüllten sowie nicht im OPG ausreichend erkennbaren Zähnen werden Zahnfilme erstellt.
Die Röntgendiagnostik gibt Auskunft über Zustand, Form und Beschaffenheit von Zahnhartsubstanz, Alveolenknochen, Desmodontalspalt und Restaurationen.
Nach Erhebung eines Parodontalstatus kann eine zusätzliche spezielle Diagnostik notwendig sein. Heute gibt es im Bereich der Mikrobiologie und Immunologie
durch verbesserte Nachweismethoden die Möglichkeit, die klinische Diagnostik zu ergänzen.
Diese Verfahren konzentrieren sich auf den Nachweis mutmaßlicher parodontopathogener Bakterien.





